임신 6주가 되면 심장소리를 들을 수 있다는 의사 선생님의 말에 두근두근 거리며 2주를 기다렸는데 드디어 초음파 검사하는 날이 왔다.
과연 아기가 잘 자라서 심장이 있을지... 아님 난황조차 안보일지... 저번주 부터 걱정 반 기대 반으로 있었는데 그 결과를 드디어 확인했다!
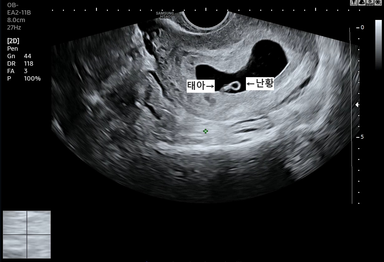
결과는....!

무사히 난황과 태아가 확인이 되었다!
처음에는 큰 동그라미가 태아의 머리인줄 알았는데 거긴 난황이고 태아는 난황옆에 조그마하게 붙어있는게 태아라고 한다. 지금 태아의 크기는 5mm라고 하니 2주전에 아기집의 크기와 똑같은 크기!
심장이 있어서 심장소리도 들을 수 있는데 아직 아기가 크지않아서 심장박동수가 120bpm정도지만, 더 크면 160 ~ 100bpm정도 된다고 하셨다.
초음파 화면으로 심장이 뛰는것도 확인 할 수 있었는데 깜빡깜빡하는게 심장이라고 한다..!!
태아 초음파 영상을 보고 있자니 빨리 아기가 무럭무럭 커서 팔다리도 생기고 얼굴도 볼 수 있으면 좋겠다 ㅎㅎ
그리고 이제 심장까지 생겼으니 태명을 지어줘야하는데....
그건 아직까지 뭐로 할지 전혀 모르겠다 ㅠㅠ
그나저나 산모수첩도 나왔으니 이제 임산부가 받을 수 있는 혜택들을 미리 확인해보고 또 받을 수 있는 것들은 최대한 받아야 할꺼라 또 열심히 공부를 했다.
임산부 혜택은 크게 2가지로 나누어 지는데 바로 국가에서 공통으로 주는 혜택과, 지자체가 세금을 이용해서 주는 혜택이 있다. 국가 혜택은 어딜가나 똑같이 받을 수 있지만 지자체 혜택은 시, 구 별로 조금씩 다를 수 있어서 한번 우리가 받을 수 있는 혜택들을 정리 해 보았다.
일단 우리는 단태아에, 첫아이 임신이고, 소득은 둘이 합쳐 중위소득 150% 이하이기 때문에 이런 상황에서 받을 수 있는 혜택만 정리했다.
1. 국가혜택
가. 금전적 지원
1) 임신 출산 진료비 지원(국민행복 카드)
ㅇ 금액 : 100만원(단태아라서)
ㅇ 사용처 : 임신 및 출산 관련 진료비, 처방약, 치료재료, 신생아 진료비 등(산후조리원은 안됨)
2) 첫만남 이용권(국민행복카드)
ㅇ 금액 : 200만원(첫째라서)
ㅇ 사용처 : 유흥업종, 사행업종, 위생업종, 레저업종 및 성인용품, 상품권등을 제외한 전 업종에서 사용가능(단 할부 및 정기결제는 안됨)
나. 기타 지원
1) 엽산제 철분제 지원(보건소에서 수령)
ㅇ 엽산제 : 임신 12주 이내 임산부에게 3개월분 바로 지원
ㅇ 철분제 : 임신 16주 이후 임산부에게 6개월분 지급
2) 산모 신생아 건강관리 지원(기준중위소득 150% 이하)
ㅇ 출산가정에 산모 신생아 건강관리사의 가정방문 서비스 지원
ㅇ 금액 : 표준 10일 단태아 첫째아 기준 949,000원이 지원 되고 본인부담금은 대략 427,000원 정도가 나옴(2025년에는 달라질 수 있음)
ㅇ 신청기간 : 출산예정일 40일 전 ~ 출산일로부터 30일
ㅇ 유효기간 : 출산일로부터 60일 이내 사용
ㅇ 상세 정보링크 : https://www.mohw.go.kr/board.es?mid=a10409020000&bid=0026&act=view&list_no=1479802
국가혜택과 관련한 정보는 아래링크에서확인할 수 있으며 보다 편하게 생활법령정보사이트에서 정리해서 PDF 파일로 올려놓았으니 확인해보면 많은 도움이된다.
만약 PDF파일을 못 찾았으면 아래 파일을 참고
2. 기장군 혜택
가. 금전적 지원
1) 산후조리비용 지원
ㅇ 금액 : 50만원
ㅇ 상세 정보 링크 : https://www.gijang.go.kr/index.gijang?menuCd=DOM_000000402001002003
2) 택시비 지원(마마콜)
ㅇ 금액 : 택시요금 65%할인(월 채대 4만원, 회수 제한 없음)
ㅇ 지원 기간 : 임신 중(출산예정일 + 1개월), 출산 후(출산일 + 1년)
ㅇ 이용 가능지역 : 부산시,김해시, 양산시
3) 산모 신생아 건강관리 지원(기준중위소득 150% 초과)
ㅇ 부산시는 기준중위소득 150% 초과되는 사람이라도 산모 신생아 건강관리 지원을 받을 수 있음
ㅇ 상세 정보링크 : https://www.gijang.go.kr/index.gijang?menuCd=DOM_000000402001002002
나. 기타지원
1) 산점 검사 지원
ㅇ 검사항목
- 기본혈액검사(적혈구,백혈구,혈소판,혈색소,SGOT,SGPT)
- 소변검사(요당,요단백)
- 면역혈청검사(매독,HIV항체,A형간염,B형간염,풍진검사)
ㅇ 검사장소 : 보건소
2) 유축기 대여
ㅇ 신청기간 : 출산 1개월전 전화 또는 방문 접수
ㅇ 내용 : 3주간 유축기 대여
ㅇ 유축기 종류 : 메델라 전동식 유축기(베이직 키트 포함)
3) 모자건강교실
ㅇ 모유수유 코칭, 태교, 아이마중, 영유아 응급처치 등 초보엄마아빠들을 위한 클래스 개설
ㅇ 기간 및 내용은 링크참조 : 링크
기장군 혜택 상세 정보 링크 : https://www.gijang.go.kr/index.gijang?menuCd=DOM_000000402001001002
생각외로 부산시에는 중위소득 80%이상 첫아이에게 주는 혜택이 많이 없어서 아쉬웠다.
찾아보면 이것보단 더 있을지도 모르지만... 임산부 혜택 사업이 여기저기 산재해있는터라 알기가 어려운게 너무 흠인 것 같다. 국가 사업은 PDF잘 정리되어있는데 기장군 사업은 PDF로 정리되어있는게 없다보니 그게 좀 아쉽다...
추가로 찾으면 찾는대로 더 추가할 예정!
'ㄴ잡담 > 예비 아빠이야기' 카테고리의 다른 글
| 제대혈 '보관', 정말 필요할까? 나의 선택은 '기증' (2) | 2025.04.13 |
|---|---|
| 임신 9 ~ 12주차 기록[1차 기형아 검사, 독감주사, 산후조리원 예약] (2) | 2024.10.15 |
| 임신 7~8주차 기록[젤리곰 확인, 태아보험 가입] (7) | 2024.09.24 |
| 임신 5주차 기록(필수 영양소, 운동, 성생활에 대한 공부) (0) | 2024.08.18 |
| 임신 4주차 기록(첫 임신 확인 ~ 보건소 방문) (1) | 2024.08.13 |