마지막 검사이후로 4주가 지났다.
사실은 3주인데 9주차에 피비침이 있어서 한번더 검사를 하러 갔었기 때문이다.
다행히 아무문제가 없었고, 이왕 온김에 12주차에 받는 기형아검사를 예약하고 가라고 하셔서 그렇게 했다.
원래 2주마다 검사를 했는데 3주동안 검사를 안하다보니 약간의 불안감도 있었지만 아내의 배가 조금 아프다던가, 많이 피곤해한다던가 하는 전형적인 임신주차에 따른 반응들이 정상적으로 나왔기 때문에 조금은 안심할 수 있었다.
아이러니하게도 아픈게 오히려 안심이 되다니, 이상한 기분이지만 말이다.
여튼 드디어 약속한 날이 되었고 우린 산부인과에 도착했다.
1차기형아검사는 미리 예약을 해놨기 때문에 접수후 바로 검사가 가능했다.
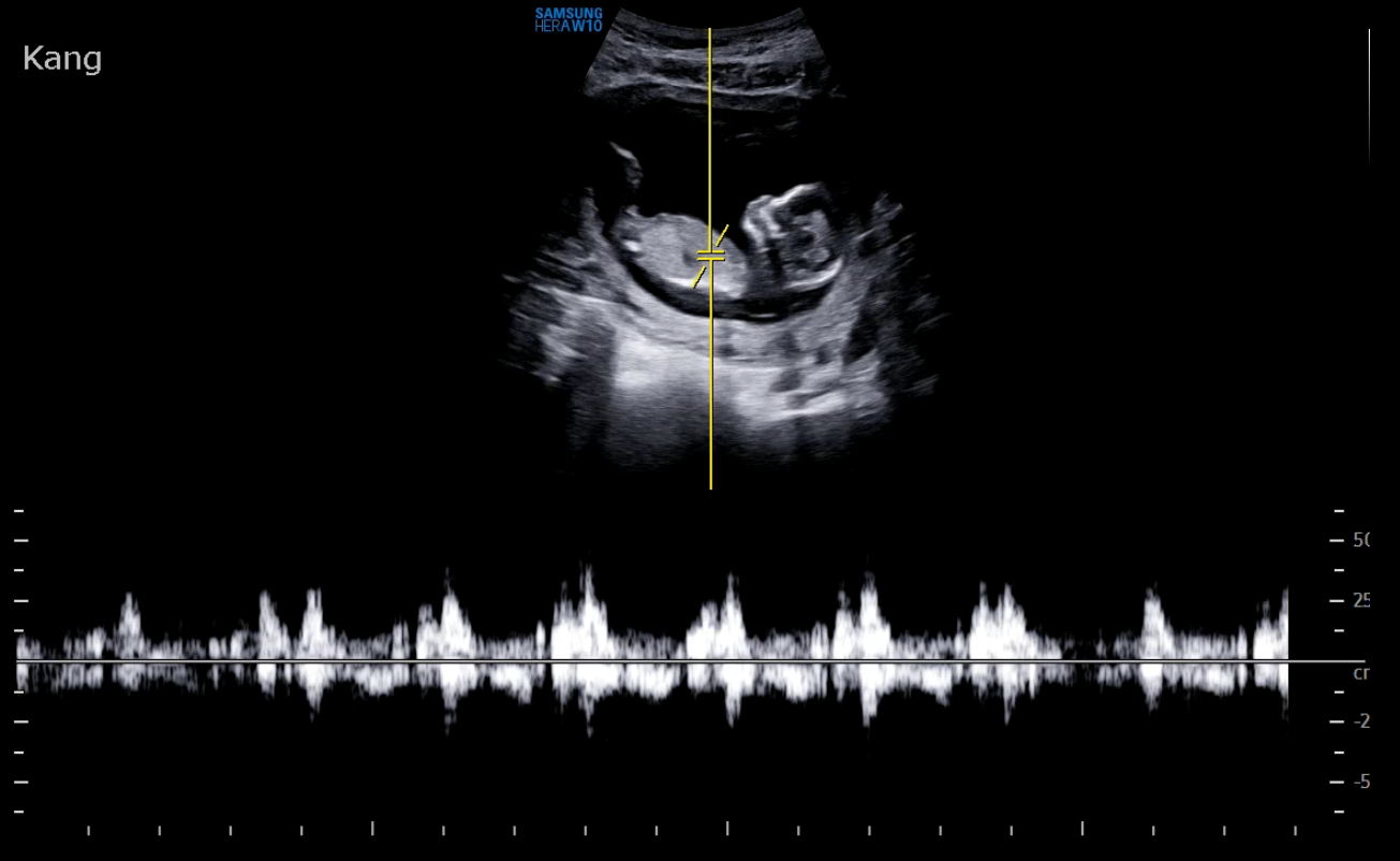
12주차 부터는 질초음파검사가 아닌 복부초음파 검사를 할 수 있게 되는데, 그 덕분에 남편도 검사 할 때 옆에서 같이 볼 수 있게 되었다.(이전에는 진료실 옆에서 기다리고 있었어야 했다.)
초음파 검사기기로 아내의 배를 검사하는 모습과, 동시에 화면에 비춰지는 아기의 모습을 보고 있자니 아내가 아기를 품고 있다는 사실이 새삼스레 와닿고 또 대단하다고 느껴졌다.
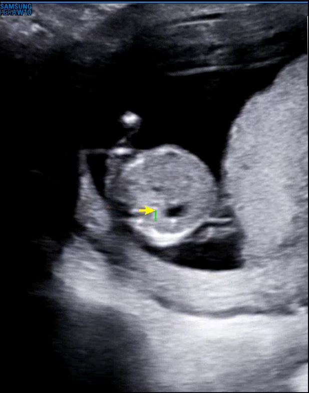
그럼 12주차 우리 아기의 모습을 보자

크기는 7cm 정도인데 팔다리랑 생길건 다 생겨서 엄청 꼬물꼬물 귀엽다 ㅎㅎ
저게 실시간으로 보고있는거라 팔이 움직이는게 보이니까 너무 귀여웠다. 코도 있고 잘보면 발가락 같은것도 보이는데 엄청 조그마해서 심쿵...
아직은 얼굴윤곽이 잘 나오진 않지만 아마 크면 금방 볼 수 있을 것 같다 ㅎㅎ
기형아 검사는 생각보다 많은걸 봤는데,

일단 심장부터 확인했고, 분당 150회 정도로 잘 뛰고 있었다. 이전에는 분당 180회였는데 아무래도 커가면서 조금씩 심장속도가 다시 느려지는 것 같다.

목둘레 투명대도 쟀는데 정상이였다. 정상치가 3mm 이하인데 3mm가 넘으면 다운증후군등의 선천성기형이 의심된다고 한다. (물론 이것만으로 결정되는건 아니고 후속되는 여러가지 검사까지 합쳐서 판별을 해야된다고 하니 저게 크다고 무조건 기형인건 아닌 것 같다.)

탯줄에 혈관이 제대로 형성됬는지도 봤고


뇌와 심장이 제대로 있는지도 보고 위장이 있는지도 확인했다.

하체를 통과하는 동맥과 정맥도 잘 있는지 확인했다.

마지막으로 엄마의 자궁내 혈관도 멀쩡한지 잘 확인한 후 초음파로 검사하는 항목은 끝!
초음파로 이렇게 많은걸 검사할 수 있다는게 정말 대단하게 느껴졌다. 현대의학 만세
동시에 예전에 이런 검사없이 우리를 낳으셔야됬던 아버지 어머니에 대한 존경심도 들었다.
초음파 검사가 끝나고 나면 피검사를 받는데 피검사는 PAPP-A검사로(PPAP가 아니다 PPAP로 검색했다가 익숙한 아저씨가 나와서 놀랬다.) 임신 연관 혈장 단백-A의 수치를 확인하는 검사인데 이 수치 또한 선천적기형검사를 판별하는데 쓰인다고 한다.
담당의사와 진료를 하는데 우리는 특별히 문제가 되는게 하나도 없어서 그냥 다음 진료(2차 기형아 검사) 시점을 안내받은 뒤 나왔다.
1차기형아 검사는 그자체로 결과를 알려주지 않고 2차기형아 검사까지 완료되면 그 결과를 통합하여 알려준다고 한다.
앞으로 4주후에 검사를 받을텐데 그때까지 언제 기다리나 싶다....
여튼, 12주가 되었으니 해야할 일이 있다. 그것은 바로 산후조리원을 예약하는것!
요즘 산후조리원이 워낙 예약이 꽉차있어서 안정기가 지나고 나면 바로 예약을 해야된다고 해서 우리가 다니는 정관의 아이앤젤병원으로 바로 예약을 했다.
상담실에 남자는 들어갈 수가 없어서 아내만 들어가서 상담을 받았는데 딱히 상술을 부리거나 하진 않았던 것 같다.
일반실, 특실, VIP실이 있는데 전부다 1인 1실이고 차이는 방의 크기랑 소파의 유무, 그리고 관리프로그램의 차이 정도라서 우리는 일반실로 2주를 예약했다.
일반실 2주에 포함된건 가슴관리 1회, 전신관리 1회인데 각각 8만원, 14만원으로 추가로 받을 수 있으니 아내보고 받고 싶으면 마음껏 받으라고 해놨다.
나중에 확인해보니 상담내용들이 전부 아이앤젤 여성의원 홈페이지 상세하게 기재해놓은데다가, 가격까지 전부 명시되어있어서 신뢰감이 갔다.
궁금한 분들은 아이앤젤 산후조리원 안내링크 를 클릭해서 참고하면 될 것 같다.
우리는 일반실 2주라 220만원인데 예약금 20만원이라 나중에 조리원 입실시 200만원을 내면 된다고 했다.

마지막으로 남은게 예방주사였는데 이제 슬 겨울이 다가오니 독감주사를 맞을 수 있으면 맞는게 좋다고 해서 독감주사를 맞았다. 12주가 넘어가면 임산부도 맞을 수 있다고 했다.
또 B형 간염항체가 없어서 B형간염 예방주사도 맞으려고 보건소에 문의를 했는데 임산부는 보건소에서 예방접종이 불가능하다는 통보를 받아서 조만간 병원으로 찾아가야 될 것 같다.... 보건소가 더 싸다보니 돈을 아끼려면 임신전에 보건소에서 B형간염 예방주사를 맞는걸 추천드린다...
여튼 아이가 건강해서 좋다.
아내가 입덧은 거의 안하지만 그래도 호르몬의 농간으로 가끔씩 투정을 부릴때가 있는데 그럴 때 내가 잘 받아주고 기분좋게 만들어줘야지 항상 생각을 한다. 그렇게 받아주고 나면 아내가 나중에 미안해 하고 후회하는데 본인 마음대로 기분이 통제가 안되는게 참 힘들 것 같다는 생각을 하면서 이겨낼 수 있는것 같다. 다른 임산부들은 짜증만 내고 미안해 하지 않는 경우도 많다는데 생각과 배려심이 깊은 우리 아내를 만나서 난 참 복받은 인생인것 같다.
이제 4주동안 더 챙겨야 될 것 들이 있을텐데 이제 슬 임부복은 본격적으로 알아봐야할 것 같고 아기복은 조금씩 알아보는게 좋을 것 같다. 또 자주 대화하면서 불편한게 뭐가 있는지 체크하는게 중요할 것 같다.
'ㄴ잡담 > 예비 아빠이야기' 카테고리의 다른 글
| 제대혈 '보관', 정말 필요할까? 나의 선택은 '기증' (2) | 2025.04.13 |
|---|---|
| 임신 7~8주차 기록[젤리곰 확인, 태아보험 가입] (7) | 2024.09.24 |
| 임신 6주차 기록(심장소리를 듣다, 부산 기장군 임산부 지원 정리) (2) | 2024.08.27 |
| 임신 5주차 기록(필수 영양소, 운동, 성생활에 대한 공부) (0) | 2024.08.18 |
| 임신 4주차 기록(첫 임신 확인 ~ 보건소 방문) (1) | 2024.08.13 |